Feinberg Lab
Feinberg Lab
News
Research
People
Publications
NexGen 7T Scanner
U24 Dissemination Project
Contact & Opportunities
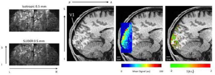
Pushing the limits of ultra-high resolution human brain imaging with SMS-EPI demonstrated for columnar level fMRI
David A. Feinberg
,
An T. Vu
,
Alexander J. S. Beckett
January 2018
DOI
Type
Journal article
Publication
Neuroimage
Cite
×